Dicas
As Fórmulas dos Pés
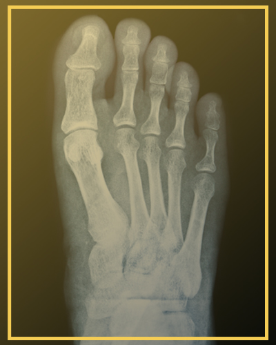
Alguém que sempre teve dor na região plantar dos pés, embaixo da cabeça dos dedos. Com o passar do tempo foi formando uma calosidade cada vez maior, com a dor piorando tanto ao ponto de ele não conseguir andar muito tempo na praia ou descalço. Ao fazermos uma radiografia veio o diagnóstico: índex minus – alguém sabe o que é isso?
A fórmula metatarsal diz respeito ao tamanho dos metatarsos, os ossos que formam os raios dos nossos pés e de onde se originam os dedos.
A importância disso está na distribuição das cargas sob os nossos pés – durante o apoio do pé no solo, a pressão na região plantar (a sola do pé) se distribui em 3 áreas: a cabeça do primeiro metatarso (logo antes do dedão), a cabeça do quinto metatarso (antes do dedinho) e o calcanhar. Essa configuração forma um triângulo, o chamado EFEITO TRIPÉ.
Então é importante sabermos o formato dos metatarsos para sabermos onde se dá o apoio, por ser uma causa de METATARSALGIA (dor na região plantar da dos metatarsos), sendo um sinal clínico importante a formação de calosidades nessa região. A metatarsalgia pode acometer até 80% da população em algum momento da vida!
A metatarsalgia pode ser primária (decorrente da fórmula metatarsal), secundária (calçados, encurtamento muscular, atividade física …) e secundária a trauma (gerando sequelas)
Os formatos dos pés são:
• Índex minus (primeiro metatarso mais curto): também chamado de “pé de Morton”. Se o primeiro metatarso é menor do que o segundo pode ocorrer o apoio na cabeça do 2o raio, por ser mais longo, podendo ser a causa da metatarsalgia primária
• Índex plus (primeiro raio mais longo que o segundo)
• Índex plus minus (primeiro e segundo raios de tamanho semelhantes)
Apesar de existirem métodos de análises baseados em medidas e arcos, uma radiografia dos pés (que deve ser feita com apoio) já nos dá uma ótima ideia de fórmula metatarsal de cada paciente .
